东北网健康频道消息(通讯员白雪佼 朱开彬)喜欢吃鱼的人很多,被鱼刺扎到的人也不少,但鱼肉鲜美,鱼刺危险,误咽下的鱼刺如果处理不好,就可能会发生生命危险。近日,46岁的尹先生就用他的亲身经历为我们讲述了小小鱼刺到底有多危险。
尹先生爱吃鱼,4个月前吃了几次鲜鱼,一次吃鱼时自己感觉吞了根鱼刺,但是当时没有症状他也便没在意,没想到2个月前他出现了反复的发热,剧烈的咳嗽。刚开始到医院就诊时,做胸部CT检查误以为只是普通的右肺下叶肺炎,可静点了1个月的消炎药,症状仍然没有缓解。尹先生因为这病跑了多家医院,期间虽有医院也怀疑是鱼刺引起,但食管镜检查并没有发现明显异常,只是在食管下段发现了一个4mm的溃疡小口。
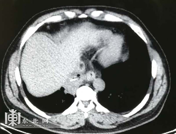
剧烈的咳嗽伴有大量异味的脓痰让他整夜无法入睡,严重影响了他的生活。最后尹先生在家属的陪同下慕名来到了哈医大肿瘤医院胸外科,经多名专家联合会诊后仍考虑为胸腔异物引起的肺感染。结合反复详细的问诊以及患者的回忆,胸腔的异物考虑为鱼刺的可能性大。鱼刺随着食管的蠕动以及食物的挤压作用下,刺穿了食管,扎入了肺脏,引起了周围的炎症。随着时间的推移,这根危险的鱼刺还可能会在胸腔内继续游走,万一扎破胸腔内的大血管,那将危及到生命。因此,最后决定由胸外科主任徐世东教授带领的医疗团队为尹先生进行急诊手术,解决潜在的隐患。
4个月的时间使鱼刺周围形成了非常致密的粘连,术中胸腔内组织结构因炎症水肿也变得很紊乱,这极大地增加了手术的难度。经过5个多小时的仔细解剖游离,发现鱼刺已经完全刺入了肺内,在切除了一个肺叶后,终于取出了长近3厘米的鱼刺,手术很成功,术后,尹先生发热咳嗽症状立刻缓解。当他见到从自己肺内取出的鱼刺时,说自己以后再也不吃带刺的鱼了。
哈医大肿瘤医院胸外科主任徐世东教授强调,为预防鱼刺卡喉,生活中我们首先应养成细嚼慢咽、食不言的习惯,老人小孩避免吃刺多的鱼。万一被卡,切忌不可盲从民间方法,吞食饭团可能会把鱼刺往下推送,造成食道和主动脉的损伤,米醋虽可以软化鱼刺,但至少需要浸泡2天以上,生活中很难实现。一旦鱼刺通过食道黏膜将主动脉血管刺破即可造成危险,即便没有出血,鱼刺穿破主动脉,超过3天局部便会形成脓肿,也会危及生命。如有鱼刺顺利通过食道进入胃肠道,除非是特别细的鱼刺,在胃里可由胃酸软化,否则,留在肚子里就是一颗定时炸弹,随时可能扎破消化道黏膜,导致胃肠道溃烂、穿孔。因此,科学方法是尽快就医,在喉镜或食管镜下取刺,避免延误治疗的最佳时机,造成进一步的损害。
“冷资源”助力“冰雪游”2021/01/04
全省首推 哈经开区、平房区发布首批“免申即享”事项清单2021/08/19
牛!小伙推倒2万多张多米诺牌再现38个夺金时刻2021/08/10
32支球队参与北京首届“社区杯”八人制足球赛决赛阶段角逐2021/05/10
- 齐齐哈尔市碾子山区: “小”城市打造志愿
- 张庆伟:持续提升管理保护质量和水平 努力
- 哈尔滨市建立经营业户诚信管理机制 3次违
- @高考生!多所驻庆高校招生计划和方案已提
- 高考期间大庆天气“和风阵雨” 最高气温29
- 大庆孤儿保障再升级 最新政策走在全国前列
- 哈尔滨机场第二通道 迎宾路高架桥施工忙
- 首批"提速办"事项清单公布 失业登记3个工作
- 昨日新增4例本土确诊,上海3例江苏1例
- “一带一路”合作助力战疫情、稳经济
- 8月23日5时35分“处暑”:岁岁秋相似,新凉直万金
- 人口与计生法修改完成 我国正式进入“三孩时代”
- 世卫组织:全球累计新冠确诊病例达209201939例
- 补壹刀:BBC,又推出一个新“演员”!
- 布基纳法索北部发生袭击事件致47人死亡
- 47名非法移民在毛里塔尼亚海域被发现死亡










